洪元口腔诊所地址:灵山大街九州材料装饰城

洪元口腔门诊部地址:泰安市唐訾路中段144号

利民牙科地址:泰安市唐訾路中段117号

蓝天口腔地址:滕州市北辛中路状元府小区西门北150米路东

我牙挺好的,只有一个小黑点 洪元口腔 今天

发布时间:[2018-12-25 8:57:24]    浏览量:1329次

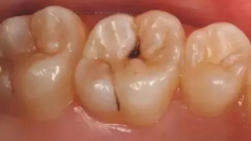
有些人晨起对着镜子仔细看自己洁白的牙齿,突然发现牙齿上有一个小黑点,除了外观不太好看,怎么刷也刷不干净之外,似乎并没有其他的问题,不痛不痒,似乎不用当回事。

我牙挺好的,只有一个小黑点

牙齿上的小黑点


非也!千里之堤毁于蚁穴。实际上,牙齿上的小黑点,背后隐藏的是对牙齿健康的大隐患喔!跟随零零一起来看一下吧!

黑点是什么

健康的牙齿,牙冠呈白色或淡黄色,牙齿表面是光滑的。如果不做好清洁,小黑点就会出现在牙齿上。通常,小黑点有两种可能:

  1. 色素沉着,如烟渍、茶渍、咖啡渍等,刷牙很难刷掉,轻微色素沉着可通过洁牙去除。

  2. 牙齿出现了或深或浅的龋坏,从外面看就表现为一个黑点,通常位于窝沟点隙(牙面上点状或线状凹陷)。

    大部分龋齿是由口腔中的某些细菌引起的。细菌在牙齿表面的窝沟中不断分解口腔中的糖产生酸,继而破坏牙齿,外表看起来只是一个小黑点或是黑色纹理,其实下面的牙齿早已受到比较严重的破坏,这就是所谓的“潜藏性龋”。

    可以说,这种小黑点是龋齿发生的早期阶段,越早处理越好。从初期的变色到最终形成龋洞,通常需要1年半到两年。在此期间,我们多留心自己的牙齿,完全可以把龋坏扼杀在萌芽阶段。


如何才能及时发现这种隐匿的蛀牙呢?找家正规牙科医疗机构,每隔半年检查一次牙齿!

如果你不凑巧,正好检查发现是第二种情况。那就要注意啦。拖延不治会引起更大的问题,甚至会吞掉你上万块的钱。


我们来看一下牙齿小黑点不治的结局

1
小黑点变大

 

中龋

到中龋阶段,牙齿遇冷热酸甜刺激时有酸疼感。这时病变已经破坏到牙本质浅层了,牙齿已经有龋洞形成,对酸甜食物敏感,需要做充填治疗。

2
小黑点形成黑洞

 

深龋

当发展到深龋时,牙齿有明显疼痛感,无法咬食物或者食物会镶嵌在龋洞里。此时,病变已经破坏到了牙本质深层,牙齿有较深的龋洞,温度刺激,化学刺激以及食物进入龋洞时均引起疼痛,此时,及时做充填治疗的话还来得及保住牙髓。

3
侵入牙髓组织

 

牙髓炎

如果演变成了急性牙髓炎,此时就是非常疼了。因为这时病变侵入牙髓组织,产生炎性渗出液,因而形成髓腔高压,引起剧烈疼痛。此时,开髓引流是缓解急性牙髓炎疼痛最有效的方法。”

4
侵入牙根

 

根尖周炎

当您脸肿得睁不开眼睛时,您撑着眼睛说:“没什么大不了的,吃吃消炎药就好了。”

牙医却着急地说:“牙齿急性根尖周炎感染可能引起间隙感染,严重的会危及生命。此时,需要到正规口腔医院治疗患牙,配合药物治疗,必要时做脓肿切开引流术。”

5
牙冠被全部腐蚀

残冠残根

当牙齿剩下残冠残根时,这是你保留牙齿的最后一次机会。就目前医疗技术而言,做根管治疗后桩冠修复可以很好地保存残冠残根,根管治疗能达到好的效果。


6
拔除



此时,牙齿就真正地离你而去了。当你反应过来,就需要牙齿种植了。

有黑点,怎么办?

从几百块到上万,小黑点慢慢形成无底洞,吞掉了你的钱。如果在小黑点出现时,及时采取治疗,你所花费的可能仅仅只有几百块。

当然,预防胜过于治疗,避免小黑点的出现才是最彻底的治疗方式。

儿童时期
窝沟封闭

小孩喜甜食而且不能自主做好口腔清洁维护,而牙合面窝沟裂隙多,食物容易滞留,因此给小孩子的牙齿穿上一层漂亮的保护外衣非常有必要,能够有效防止蛀牙。


针对儿童而言

  • 减少或消除病原刺激物,坚持刷牙和漱口。

  • 减少或控制饮食中的糖,养成少吃零食和喝饮料的习惯,睡前不吃糖,平时尽可能吃些粗粮。

  • 做窝沟封闭增强牙齿抗龋能力,在不影响牙体组织的前提下,用一层特殊材料涂布在牙齿表面,形成一层保护膜,阻止外来的细菌、食物残渣等入侵。


成年人时期
洗牙

牙结石是引起蛀牙、牙龈炎、牙结石的元凶,因此成年人要养成定期洁牙的好习惯。保持每半年至一年之间洗一次牙,能够洗去牙结石并有效地防止各种口腔问题。


针对成人而言

  • 养成良好的口腔卫生习惯,早晚刷牙,饭后漱口,以减少食物残渣的存积和发酵,减少牙菌斑的形成。

  • 注意调整饮食结构,对食物要粗细搭配,适当多吃些富含纤维的蔬菜、水果等。

  • 定期洗牙,同时每半年到医院进行口腔检查一次,以早期发现蛀牙,及时治疗。


快去照镜子吧



自己要经常查看牙齿,是否出现了小黑点。当然,也可以定期去牙医那里检查。一旦发现有龋齿的情况,一定要及时地采取措施,以防牙齿坏到不可挽救的地步。

俗话说:“牙疼不是病,疼起来要人命。”其实,绝大多数的牙疼现象都是可以避免的,只要能做到早发现、早治疗就可以了。

那么,亲,你的牙齿有小黑点吗?

快去照照镜子吧!





该文章/视频来自网络,如有侵权请及时联系删除

泰安洪元口腔医院
泰安利民牙科医院
唐訾路店洪元口腔

版权所有:泰安市泰山区洪元口腔诊所 备案号:鲁ICP备18007663号-1 鲁公网安备 37090202000874号 技术支持:诺盾网络