洪元口腔诊所地址:灵山大街九州材料装饰城

洪元口腔门诊部地址:泰安市唐訾路中段144号

利民牙科地址:泰安市唐訾路中段117号

蓝天口腔地址:滕州市北辛中路状元府小区西门北150米路东

韩国十年不刷牙的美女,牙黄口臭遭嫌弃,你们感受下...

发布时间:[2019-1-15 16:56:41]    浏览量:1249次

你可能有一天没刷牙的经历!

但你有十年没刷牙的经历吗?


今天的女主角就是一位十年没刷牙的妹子

来开开眼界吧,十年不刷牙是怎样的一种体验



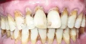
这位名叫其贤智的奇女子是位职业美容师,今年20岁。人家从10岁妈妈不再帮她刷牙以后自己就再也没有刷过牙……10岁开始不刷牙,今年20岁,就算你的数学是体育老师教的也看的出来她已经十年没刷牙了!!!然而她也并未觉得羞耻,还觉得很正常?


不刷牙的原因你可能也不懂

因为她讨厌牙刷进到嘴里的感觉


“别人也不会进到我的嘴里去看,我不明白为什么非要刷牙...食物包着我的牙反而是保护牙齿啊。”

她还有自己独特的刷牙方式,就是用舌头舔一遍牙 ……脑洞大开,小编也受到了惊吓...


但是不刷牙真的只是个人习惯吗?

它可能影响的是你的人生...


其贤智知道自口臭,所以工作时不敢讲话或大笑,怕被顾客看见满嘴的大黄牙以及闻到难闻的口臭。因为十年不刷牙,所以朋友们渐渐疏离了她。对一般人来说,都会怕被狗传染细菌,然而她妹妹却怕她把病毒传染给家里的宠物狗,不准她与狗狗亲亲。

她还爆料说之前她有跟男朋友亲吻过,但亲到一半,男朋友就忍不住讲说“你嘴很臭”。

也是really尴尬...

后来她在节目组的帮助下去看了牙医,医生表示虽然戴着口罩,还是可以闻到她的口臭。从业这么多年从没见过这样的牙,蛀牙十多颗,还有其它7颗已经完全坏掉,但她却感觉不到疼,简直可以作为样本研究…

主持人美腻的表情啊 我已经醉了

在吃东西的孩纸看见这张图 

估计一天都不想吃饭了

节目中第一次刷牙刷出了血...

不好好刷牙,你的牙真的会死的很惨...

一天(24小时)

好像我也有过耶


如果你24小时不刷牙,就会在牙齿表面形成一层薄薄的牙菌斑(牙齿表面富有细菌的具有粘性的沉积)。在第一天不会有明显的损伤,但是这已经为牙齿损伤埋下了祸根,在第二天时就会出现口臭。 

一星期(7天)

这你也能忍?


如果一个星期不刷牙,牙菌斑就会慢慢变厚,此时,就很可能有异味出现。在3-7天之间,就会慢慢出现牙龈炎。实际上,牙龈甚至可能会出血。如果你触碰牙龈,它就会变红;自此,牙龈就会经常疼痛。

一个月(30天)

这是怎么做到的?告诉我


如果30天不刷牙,口腔中的细菌就会慢慢腐蚀你的牙齿。不仅会出现牙龈通红的现象,而且如果你吃甜食的话,会很容易得龋齿。当出现白斑的时候,就表明你的牙釉质脱钙了,这是牙齿变质的明显症状。

一年(365天)

大神请收下我的膝盖


如果一个人365天都不刷牙,他的唾液(尤其常吃含糖量高的食物的情况下)也会导致龋齿,牙齿会出现牙洞,进一步加厚牙菌斑,牙龈炎“进化”成牙周病。如果是老年人不刷牙,那他的牙齿很快就不牢固了,然后慢慢的松动,甚至脱落。

五年(1825天)

这就是神一样存在的人


如果1800多天没有刷牙,你的牙齿会成为什么样?也许年轻人的牙齿有牙龈炎、牙周病、龋齿......想想牙就开始酸了!对于身体抵抗力差的老年人来说,一年不刷牙这些人的牙齿都已经松动了,更别说5年了。

十年(3600天)

原谅我词藻匮乏已经无法形容


你问我你的牙齿还在吗?

天知道!!!


最后附上标准刷牙方法

大家一定要养成每天早晚刷牙的好习惯!!!

中华口腔医学会发布--标准刷牙方法








该文章/视频来自网络,如有侵权请及时联系删除

泰安洪元口腔医院
泰安利民牙科医院
唐訾路店洪元口腔

版权所有:泰安市泰山区洪元口腔诊所 备案号:鲁ICP备18007663号-1 鲁公网安备 37090202000874号 技术支持:诺盾网络