洪元口腔诊所地址:灵山大街九州材料装饰城

洪元口腔门诊部地址:泰安市唐訾路中段144号

利民牙科地址:泰安市唐訾路中段117号

蓝天口腔地址:滕州市北辛中路状元府小区西门北150米路东

为什么口腔医生一眼就能看出孩子长期有口呼吸的习惯?

发布时间:[2019-1-22 16:25:41]    浏览量:1204次

嘻嘻,来个段子轻松一下。

 

虽然是段子,还是有现实依据的,因为长时间口呼吸的人,在面容方面有明显的变化,有经验的牙医,一般都能看出来。




其实,牙医能看出来是否长期有口呼吸的习惯,说明2件事:一、口呼吸影响颜值。二、必须想办法解决口呼吸的问题。那么,长期口呼吸的人在面容方面和用鼻子呼吸的人有什么不同呢?

 

口呼吸的孩子有哪些特征?


如果孩子有下列特征中的一个或者几个,家长就要考虑到孩子带孩子检查下是否有口呼吸的习惯了:

 

1、经常张着嘴。红箭头所指的小孩,嘴巴微张不是他在微笑,这就是他的日常表情,因为他用嘴来呼吸。如果你家孩子班上也有这样一个小孩,请你受累告诉他或家长:得治



2、无精打采 “痴呆面容”。如果你印象中有个同学成天表情就是这样的,开唇露齿,表情呆滞,口呼吸问题确实已经开始影响TA的身高、智力发育。(正常鼻呼吸刺激生长激素分泌,口呼吸的孩子则分泌较少)



3、少年黑眼圈。当人们用正常的鼻气道通气方式进行呼吸时,鼻窦产生一氧化氮有助提升人体血氧饱和度18%之多。口呼吸则不,血氧饱和度高,“青皮蛋”就少。看看身边孩子,小小年纪就有明显黑眼圈的,十之八九已经患有口呼吸。


 

4、张嘴睡觉。小孩睡觉时,呈这样的呆萌画风,一定就是口呼吸?其实不,张口睡觉不代表孩子在用嘴巴呼吸。对于这样的小孩,家长可在TA熟睡之际,取一面小镜子放在嘴巴前方,如果镜子上有雾气起伏,就可以确定孩子是在口呼吸。



5、睡觉打鼾。睡觉打鼾的孩子基本都是口呼吸,严重的可引起睡眠呼吸暂停综合症,伴随一生,是非常危险的。

 

 

 

6、“小胖子”/“多动症”。每个班里总有一个小胖子、一个多动症,这里可以告诉大家,口呼吸的孩子由于血氧饱和度低影响睡眠质量,白天会比其他孩子懒得动,造成体重过重,比其他孩子上课时更需要借助外力集中注意力,因此经常小动作或不得不与同学说话来克服自己的注意力涣散,他们常被冤枉成“多动症”。




7、典型容貌。口呼吸的孩子伤不起,很大程度还体现在他们的外貌上。那是怎样的?每天变丑一点点的结局是怎样的?

 

面容:上唇较短,开唇露齿,有时嘴唇有外翻倾向,下颌后缩。



身姿:现在的学龄小孩很多使用拉杆书包,很多脖子前探、“驼背”等不良站姿、坐姿并不来自于书包负重,而是口呼吸。




8、口腔溃疡/扁桃体/腺样体肿大。



口呼吸时,气流不像鼻呼吸那样经过鼻腔内的湿润/加温/减速/过滤,因此,更容易对黏膜产生刺激,引起口腔溃疡和扁桃体、腺样体肿大,而扁桃体、腺样体肿大又会进一步堵塞气道,造成鼻气道压力增加,再次增大口呼吸的发生率。


为什么会有口呼吸?


1、鼻咽部的气道发生阻塞,通气量不足,不得不张口呼吸。常见有以下情况:


1)腺样体、扁桃体肥大。腺样体、扁桃体为咽部的淋巴组织,发炎时肿大,引起气道狭窄。腺样体位于鼻腔最后面,生理情况下,5岁体积达到最大,7岁开始萎缩。



2) 过敏性鼻炎。过敏性鼻炎症状为鼻分泌物增多、鼻痒、鼻塞,是青少年儿童气道阻塞的重要因素之一。过敏性鼻炎与腺样体肥大互相影响,久之会发生口呼吸,变成下图经典的“腺样体面容”。在雾霾天多发的异常气候里,家长更需多加关注孩子的鼻咽健康。



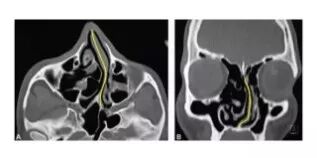
3) 鼻中隔偏曲、鼻息肉、鼻甲肥大等其他鼻部异常。


CT显示扭曲的鼻中隔(黄线)使经鼻气道不畅,多源于面部撞击伤。

 

2、不良习惯


1)鼻子通畅的前提下却用口呼吸,纯粹不良习惯。

2)鼻子不通的原因解除,但是口呼吸习惯仍未破除。


口呼吸的危害


 1 、牙列畸形。引起牙列畸形的重要原因是舌的位置错误!正常情况下,舌体静息时(闭口时)的正常位置是轻触上颚,水平面上来看,上颚内有舌肌向外推,外有颊肌(面部肌肉)向内挤,在力的平衡中正常发育。



A:正常舌位置和后牙关系。B:口呼吸时舌位置较低,伴有后牙反颌。

 

为了进行口呼吸,孩子大部分时间下颌下降,以使嘴巴张开,舌体跟随下颌骨下降,舌体与上颚丧失接触。外部颊肌力量没有与之抗衡的,因此挤压上颚变窄、高拱,相应的,上颌牙齿开始拥挤、不齐,最明显的是上前牙前突(龅牙);后牙反颌也会发生。



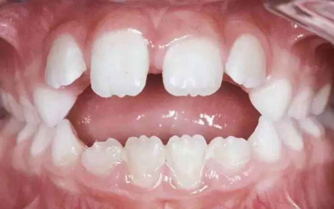
同时,口呼吸时,舌会卧于下颌前牙上,影响前牙垂直向发育,会导致前牙开合。据统计,3-6岁儿童中,口呼吸和前牙开合的关联率为35.5%(美国,2008)。



前牙开合

 

2、牙周疾病。长期口呼吸常伴有前牙,尤其上前牙的菌斑堆积、牙龈发炎。口呼吸时会带走口腔诸多水分,干燥的口腔环境缺少了唾液的机械冲刷和杀菌作用,菌斑堆积,牙龈发炎。而且,鼻呼吸的人唾液呈碱性,而口呼吸的人唾液偏酸,酸性环境也不利于牙齿和牙龈健康。

 


口呼吸者牙龈红肿、光亮。


3、损伤颜值。先来几个经典例子感受下“颜值杀手“的威力。



看这个男孩10岁时的照片,嘴唇闭合,面部比例自然协调。14岁时,他的爸爸送给他一只沙鼠作为生日礼物,他就一直养在房间里,同屋的3年里,虽然他对鼠毛过敏,但是他却宁可口呼吸也不肯送掉这只沙鼠。

17岁时的照片,已经长偏了——开唇露齿;嘴唇松弛无力、外翻;下颌骨下降、舌位置下降引起颧骨发育不良、不够突出;面容拉长;下眼睑也有些外翻。如果没有口呼吸,按照基因编码表达,本该是名美男子呢。



再来看一对英国的亲姐妹,Kelly7岁和Samantha8岁时因口呼吸问题就诊,之后Kelly纠正了口呼吸,9岁时的照片颜面骨骼发育良好,但是Samantha仍用口呼吸,2年后的照片看来,和妹妹相比,上前牙突出;脸颊扁平拉长;下颌后缩。看颜值,本来都是天使儿童的,结果一个长成了天使姐姐,一个却长成了天使猴猴。

 

4、智力精力注意力下降及其他危害。口呼吸与正常鼻通气相比,吸入的氧气量更少,长期血氧饱和度低会影响发育中的各个重要器官。口呼吸的孩子睡眠质量并不高,睡眠中常有打鼾现象,白天则表现为困乏、精力涣散、兴趣缺缺。


口呼吸常伴发错颌畸形,所以颞下颌关节紊乱和吐字不清也常出现。

嘴唇干裂。

嗅觉刺激减少,食欲不振,加之咀嚼力下降,影响进食。

口呼吸因为缺乏鼻部的加热加湿过滤,容易诱发下呼吸道疾病。


口呼吸应该怎么办?



孩子成长发育的每一步都是不可逆的,2-15岁是治疗孩子口呼吸的黄金年龄。

一旦确定孩子有口呼吸,家长应立刻采取如下行动:

 

1、确保孩子能通过鼻气道呼吸,否则应前往医院耳鼻喉科治疗;


2、确保孩子已经治疗过敏,因为过敏迫使孩子不得不口呼吸;

 

3、总结你的孩子已经发生本文中哪些口呼吸症状,纪录下来;

 

4、咨询口腔医生,帮助孩子通过肌肉平衡训练,第一时间治疗TA的口呼吸,杜绝后续任何不良发育影响。





该文章/视频来自网络,如有侵权请及时联系删除

泰安洪元口腔医院
泰安利民牙科医院
唐訾路店洪元口腔

版权所有:泰安市泰山区洪元口腔诊所 备案号:鲁ICP备18007663号-1 鲁公网安备 37090202000874号 技术支持:诺盾网络