洪元口腔诊所地址:灵山大街九州材料装饰城

洪元口腔门诊部地址:泰安市唐訾路中段144号

利民牙科地址:泰安市唐訾路中段117号

蓝天口腔地址:滕州市北辛中路状元府小区西门北150米路东

涂氟还是窝沟封闭,该给孩子做哪一个?

发布时间:[2019-4-20 17:17:36]    浏览量:1474次

在这个牛奶、汽水、蛋糕、糖糖一样不能少的年纪,你可知,龋病细菌正在十面埋伏!

各种可见、不可见的食物残渣留在牙齿表面,形成局部酸蚀,蛀牙随之发生。

因为乳牙龋坏,轻则因疼痛影响进食和休息,有害小朋友的营养吸收、生长发育;因黄黑影响小朋友的容貌与自信;重则影响恒牙萌出的时间和质量,有害一生健康。

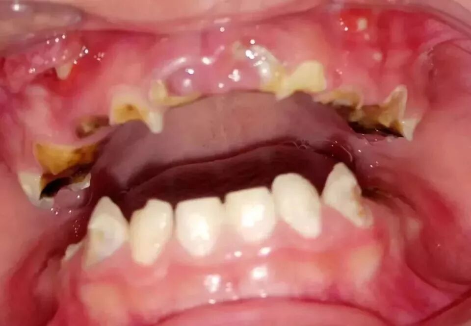
看下图:




看了上面这些案例,你是不是也感到心疼和担忧,觉得一定不能让自家孩子的牙齿也变成这样?



那么怎样才能有效预防蛀牙呢?有不少家长都在后台留言问,牙齿涂氟和窝沟封闭到底是什么?那今天就跟大家介绍一下牙齿涂氟和窝沟封闭是怎么回事。

涂氟



1.氟化物是如何保护牙齿的?


氟化物是一种天然的防龋物,合理用氟可以对牙齿起保护作用:

第一,巩固牙齿,预防龋齿;


第二,在蛀牙初期,趁牙洞还没形成,氟化物可以迅速补充流失的牙表面的矿物质,使早期脱矿得到修复;


第三,抑制细菌滋长。


2.什么是涂氟?


根据美国儿科协会AAP指南,从孩子牙齿萌出,就可以开始定期涂氟了。涂氟指在牙齿表面涂抹高浓度的氟化物,起到保护层的作用。可供选择的氟剂包括氟凝胶、氟化泡沫和氟保护漆三种。


  • 氟凝胶


供专业人士使用的氟凝胶浓度很高,因此对操作有严格的要求。在使用氟凝胶的过程中,容易造成异物感吞咽现象,因此对儿童配合度要求较高,不适宜于6岁以下的儿童。



  • 氟化泡沫


氟化泡沫跟凝胶相比用量较少,但有更好的氟吸收,总体来说安全有效,小朋友在幼儿园接受的涂氟通常是这种形式。跟氟凝胶类似,氟泡沫也需要孩子有一定的配合度。


  • 氟保护漆


美国牙医协会(ADA)推荐6岁以下儿童使用氟保护漆来预防龋齿,将氟保护漆涂在牙齿表面后,它会在口腔内自然干燥,形成一层保护膜,对牙釉质起到保护作用。氟保护漆的优点是:操作简单、使用次数少、安全有效、与牙齿黏结性好。


3.涂氟应该多久做一次?


临床指南建议儿童每年至少进行两次涂氟治疗,但个体情况存在差异,涂氟的频率最好由齿科医生检查后,根据孩子的患龋风险来决定。


4.涂氟安全吗,有没有副作用?


高剂量用氟的确可能存在氟中毒的风险,所以需要由专业人士来判断用量、排除过敏及进行操作。另外,现有的文献表明:合理用氟是不会导致氟斑牙的。


总之,涂氟是被权威组织认可和推荐的一种帮助儿童预防龋齿的方式,目前也已被人们广泛接受和欢迎,有的城市和机构还把青少年涂氟做成免费公益项目,家长们可以放宽心啦。


5.涂了氟就再不用担心孩子长蛀牙了?



不是。牙齿涂氟并不能完全防止蛀牙,但如果孩子每天坚持正确有效地刷牙,定期使用牙线,保持口腔健康的话,牙齿涂氟可以很好地预防蛀牙。


窝沟封闭



1.什么是窝沟封闭?


牙齿的表面存在一些深的窝沟,这些部位通常难以清洁,食物残渣和细菌容易堆积,是蛀牙的好发部位。窝沟封闭是用牙科材料将这些深沟填平,就会更容易清洁,从而达到预防蛀牙的作用。


换句话说,窝沟就像你家地砖上的缝,时间久了会聚积各种灰尘且不便清理,而窝沟封闭就相当于在地砖刚铺好时,就用材料填充好缝隙的一种预防措施。



2.窝沟封闭用的材料安全吗?


别慌,用在孩子嘴里的东西,必须经得起考验才行。窝沟封闭剂材料有树脂类和玻璃离子类,除了个别孩子可能对其过敏外,是绝对安全无毒的。


3.什么时候该做窝沟封闭?


有的家长可能会问:乳牙也要做窝沟封闭吗?答案是肯定的,乳牙从生长到脱落,大概要在口腔内存留 6~10 年,这一阶段正是儿童生长发育最重要的时期,所以乳牙的健康对孩子有重要意义。


乳牙窝沟封闭最佳年龄是3岁左右,第一恒磨牙的窝沟封闭最佳年龄是6-8岁,第二恒磨牙的窝沟封闭最佳年龄是12-14岁。


4.做完窝沟封闭之后该注意什么?


和涂氟一样,做完窝沟封闭并不意味着家长就可以放松警惕了。一方面,日常生活中还是要引导孩子合理饮食、做好日常口腔清洁;另一方面,定期复诊也很重要。如果出现脱落,就要重新进行封闭才行。


5.做了窝沟封闭还需要涂氟吗?


两者并不矛盾,对于患龋风险高容易蛀牙的孩子,即使做了窝沟封闭,也需要定期进行涂氟,给牙齿双重保障。

六龄齿“劳苦功高”,龋坏率也高


刚刚萌出的“六龄齿 ”并不是十分结实,未经磨耗的咬合面凹凸不平,而且窝沟很深,这样容易堆积食物残渣和菌斑,且不容易清洁,所以它们受到细菌产酸的侵蚀,很容易出现龋坏。



所以可以用窝沟封闭的方法,在龋齿发生之前,填平咬合面深的窝沟,使食物残渣和菌斑不易堆积,达到预防龋齿的效果。


好牙从娃娃抓起


介绍完了涂氟和窝沟封闭,小编还要再唠叨一次:家长们一定要树立良好的口腔保健意识,多关注孩子的牙齿健康,尽早带他们到正规、专业的机构进行齿科检查和治疗。




该文章/视频来自网络,如有侵权请及时联系删除

泰安洪元口腔医院
泰安利民牙科医院
唐訾路店洪元口腔

版权所有:泰安市泰山区洪元口腔诊所 备案号:鲁ICP备18007663号-1 鲁公网安备 37090202000874号 技术支持:诺盾网络