洪元口腔诊所地址:灵山大街九州材料装饰城

洪元口腔门诊部地址:泰安市唐訾路中段144号

利民牙科地址:泰安市唐訾路中段117号

蓝天口腔地址:滕州市北辛中路状元府小区西门北150米路东

从不洗牙的人牙齿掉的快,仔细看完就明白道理了!

发布时间:[2018-10-23 8:44:9]    浏览量:1191次

从不洗牙的人牙齿掉的快,仔细看完就明白道理了!

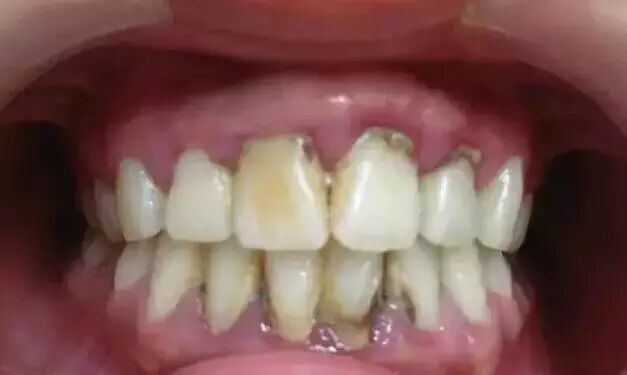
有一位牙医把自然脱落的牙齿拍成微距照片,发到微信上,引起了很多人的围观!镜头下牙结石可以看得清清楚楚,甚至有些牙结石密密麻麻地布满在牙根部位。


你颤抖了么?


很多牙医纷纷留言:把这些照片给患者看,就不用再解释什么是牙结石了,就知道自己的牙齿为什么会脱落的那么早了。

牙医们为什么这么说呢?原理是什么?继续往下看......


敌退我进:牙结石一步步向下蔓延


一颗牙齿从上到下,分为牙冠、牙颈、牙根三部分。牙冠露在外面,是我们能看到的;牙颈,在牙龈下面,看不到;牙根,在牙槽骨里。

如果一个人刷牙不彻底,又从不洗牙,牙冠上很容易长牙结石,牙结石就越积越多,向牙颈部位继续进展,这通常被称为“龈下结石”。

时间一长,从牙冠逐渐向下蔓延,牙结石每进展一些,牙槽骨就萎缩一些,牙齿就松一些,久而久之,牙齿会逐渐松动,牙结石就会慢慢蔓延到牙根部位。最后,这颗牙齿就自然脱落了。


定期洗牙:有效清除牙结石


等到牙结石沉积很厚、附着很紧密时,刷牙也无法刷掉了;同时如长时间没有得到清除,就可能引起牙龈炎、牙周炎、出现牙龈出血、口臭,最终引起牙齿松动,甚至脱落等现象。

这时,就需要通过洁牙的方式去除牙结石,同时洁牙还可减轻牙龈炎、牙周炎的炎症状况,发现细小的不易觉察的牙病,如比较隐蔽的龋齿,做到早发现早治疗。


  

几个小习惯远离牙结石


1、坚持刷牙,每天至少2次,每次3分钟;

2、每半年进行一次口腔健康检查;

3、选用软毛牙刷,选择合适的牙膏;

4、少吃精细的食品,如:饼干、蛋糕等;

(精细食物黏性大、糖分高,极易沉积于牙面,不仅容易形成牙结石,还会造成龋齿。)






该文章/视频来自网络,如有侵权请及时联系删除

泰安洪元口腔医院
泰安利民牙科医院
唐訾路店洪元口腔

版权所有:泰安市泰山区洪元口腔诊所 备案号:鲁ICP备18007663号-1 鲁公网安备 37090202000874号 技术支持:诺盾网络