洪元口腔诊所地址:灵山大街九州材料装饰城

洪元口腔门诊部地址:泰安市唐訾路中段144号

利民牙科地址:泰安市唐訾路中段117号

蓝天口腔地址:滕州市北辛中路状元府小区西门北150米路东

不是我吓唬你,塞牙也是一种病,解决方法送给你

发布时间:[2018-11-22 10:37:56]    浏览量:1645次

对于容易塞牙的人来说,每次吃饭都是一种折磨。吃一口菜,哎呀,塞牙了,嚼一下,呜呜呜~好疼,所以每次只能含糊吞下去,根本不能好好品尝美味。很多人留言问小编,吃东西塞牙到底是怎么回事?下面就跟大家好好聊聊这个问题。

一、塞过牙的人才知道的痛苦

如果你开始塞牙了,基本上就说明你的牙有点毛病了。


塞牙在医学上称为食物嵌塞,又称嵌食症。正常情况下,牙与牙之间紧密接触,不会发生塞牙。


塞牙有很多种可能,有的是牙齿有洞,有的是牙缝过大等等。只要我们口腔里有2颗及以上的牙齿,就有可能会塞牙。

二、经常塞牙的原因


塞牙这个困扰可能会烦恼你一辈子。


1、邻面龋坏,破坏了接触区和边缘嵴。

相邻的两颗大牙邻面有龋洞,成年人龋齿,大多坏在牙缝部位,相邻的两颗大牙邻面有龋洞,吃的东西就全填进去了。你不一定看得到它,它却能每天都折磨你。想要解决的话,就去医院进行龋坏处填充吧。


有些牙缝龋齿还不容易补,若补牙的材料跟旁边的那颗牙之间接触不紧密,或接触的部位不好,就会导致塞牙,非常常见。


其他一些牙科治疗,比如镶的牙跟其他牙齿接触不好等等,也会塞牙,所以,你不要以为补完牙就爽歪歪了。


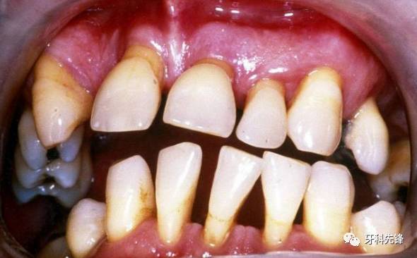
2、牙周病来了,牙齿变松了

牙周病是指发生在牙周组织的疾病。我们牙齿的根部是被牙槽骨固定着的,牙槽骨外面又包裹了一层牙龈,它们让牙齿一个挨一个紧密地排列在一起,基本上不会挤出缝儿来让食物有机可乘。


患有慢性牙周病的牙齿

若不注意口腔卫生,食物残渣产生的毒素就会慢慢地刺激牙龈发炎,频繁发炎的牙龈又会刺激到牙槽骨,发炎的牙槽骨慢慢吸收,变得越来越低,包裹它的牙龈也慢慢萎缩,这样暴露在外面的牙根就会越来越多,固定它的力量越来越小,牙齿就会慢慢松动。


也许这种细微的松动你平时根本觉察不到,可一旦吃一些坚韧难咬的食物时,用的力气是平时的几倍,在上下牙拼命往一起用力时,松动的牙齿就被推开了一道缝儿,韭菜丝趁机往里一挤。


插个队~


PS:轻微牙周病的症状

A、牙龈边缘红肿

B、刷牙时牙龈容易出血

C、可能有牙石积聚

D、牙齿或牙龈可能疼痛

E、可能有口臭



处理方法:

每天早晚用牙刷、牙线等 口腔护理用品,彻底清除牙菌膜。


如果有牙石,要接受洗牙以去除牙石,以便能容易及彻底地清除牙菌膜。这样,轻微牙周病是可以自然痊愈的。



再PS:严重的牙周病症状呢?

不要问我严重的啦,要是直到严重了才知道,你早就去看牙医了啊,预防!预防!预防啊各位。


3、牙齿不整齐

你已经矫正过牙齿了?你的牙齿看上去很整齐?外观整齐不代表牙齿结构真的整齐,只要一颗牙排列有点歪,塞牙就来了。


4、智齿这个混蛋在作怪


智齿是最容易塞的一颗牙了,因为大多数人智齿长得都不正,别的牙都是从下往上竖着长,可智齿经常从后往前横着长,于是它跟前面的牙之间就出现了一道楔形的沟,这样就极其容易塞牙。


5、年老牙衰

老人家的牙槽骨会出现自然衰退,这样的塞牙,简直势不可挡。

三、塞牙的危害大大的


塞牙会让牙齿胀痛,以此容易造成偏侧咀嚼甚至进食障碍。


塞牙还会让你口臭。食物残渣产生大量细菌,并且还有不好闻的味道……



塞牙容易让你患龋齿。很多塞牙,都是会导致龋齿的。


塞牙也会产生牙周病。肉丝塞牙缝是给细菌提供了繁殖的温床,细菌大量繁殖就会导致牙龈发炎呐~

四、洗牙、使用牙线会使牙缝变大吗?


懂得洗牙、用牙线说明你已经有了初步的口腔保健意识了。


正确的洗牙、用牙线是不会让牙缝变大的

正确的洗牙、用牙线是不会让牙缝变大的

正确的洗牙、用牙线是不会让牙缝变大的


PS:小编一朋友,吃饭总塞牙,还牙龈出血,我催着她催了一年,叫她去洗牙。懒人就是懒人,最后拖着她去了牙科诊所,虽然现在还是偶尔会塞牙(不可避免),但现在算是好多了,没有天天跑去洗手间剔牙、漱口。


PS:如果以上方法均无效,就去医院让医生帮忙取出,别不信啊,还真有人塞在牙齿里的东西怎么抠都抠不出来啊!




该文章/视频来自网络,如有侵权请及时联系删除

泰安洪元口腔医院
泰安利民牙科医院
唐訾路店洪元口腔

版权所有:泰安市泰山区洪元口腔诊所 备案号:鲁ICP备18007663号-1 鲁公网安备 37090202000874号 技术支持:诺盾网络