洪元口腔诊所地址:灵山大街九州材料装饰城

洪元口腔门诊部地址:泰安市唐訾路中段144号

利民牙科地址:泰安市唐訾路中段117号

蓝天口腔地址:滕州市北辛中路状元府小区西门北150米路东

过年吃钱饺子被硬币崩掉牙!那酸爽………

发布时间:[2019-2-10 13:47:39]    浏览量:1357次





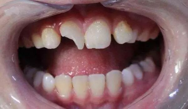
李娃低头一吃,哇,钱饺子~ 小朋友兴奋的不行,用门牙咬着硬币就给大家炫耀,大姑大姨的都看看,桌子太大就准备走过去秀幸运,在下椅子的时候不慎摔倒,人道是没事,但是这硬币也不软,门牙就没那么幸运了。


李娃哭的呼天抢地,爷爷内疚的不行,这年夜饭也算是热闹了。这不,全家陪着来给李娃看急诊。


张医生先安抚了下家属情绪,这一家子人陪人太多,情绪激动,大过年的是吧。。根据临床检查,小李娃还算幸运,并没有露髓,拍摄x线片也没有明显根折,在作出相应处理和医嘱后,李家人才算把心放下来。除了小李娃受到惊吓外,全家人还是准备好好的欢度新年,不过这下一个钱饺子可得慢慢咬了。


再此,小编还是要提醒大家。春节时牙齿疾病高峰期,大家都懂,吃吃喝喝嘛。




该文章/视频来自网络,如有侵权请及时联系删除

泰安洪元口腔医院
泰安利民牙科医院
唐訾路店洪元口腔

版权所有:泰安市泰山区洪元口腔诊所 备案号:鲁ICP备18007663号-1 鲁公网安备 37090202000874号 技术支持:诺盾网络