洪元口腔诊所地址:灵山大街九州材料装饰城

洪元口腔门诊部地址:泰安市唐訾路中段144号

利民牙科地址:泰安市唐訾路中段117号

蓝天口腔地址:滕州市北辛中路状元府小区西门北150米路东

19岁女孩把碳酸饮料当水喝,一年后牙竟被“溶解”

发布时间:[2018-10-23 8:52:20]    浏览量:2204次

有些人喜欢在口渴时买上一瓶冰镇的饮料来喝,尤其是碳酸饮料,还有些人甚至将碳酸饮料当水喝。

对此,专家提醒:

如果长时间喝碳酸饮料,尤其是冰冻的碳酸饮料,患上“可乐牙”的几率会上升。

来自山西的吴医生分享了他保留的几张可乐牙病例照,我们一块来“欣赏”一下。

无独有偶,今年,就有媒体报道称,武汉一位19岁的女孩因为长期喝碳酸饮料而导致牙齿溶化,这是怎么回事?

其实,生活中像文文这样的例子不在少数,新闻也时有爆出。只不过没有引起我们的注意罢了。

更有因为喝可乐生龋齿而诉诸公堂的

不止是可乐,所有的碳酸饮料都是,虽然喝下去的那一刻“畅爽怡神”,然而,长期大量饮用,首当其冲受伤害的就是你的牙齿。

有实验发现,把离体的牙齿切成片,泡入碳酸饮料中,用电镜放大观察其细微结构,发现30秒之后“溶解”就开始了,60秒之后可以观察到明显的钙质流失,表现为牙齿表面原本紧密的结构出现明显的锯齿状缺口。

这个时候再用牙刷轻轻刷5秒钟,将会对已经变得疏松的牙组织造成更加明显的破坏。

长时间过量饮用碳酸饮料会导致牙齿酸蚀及龋坏,也就是我们常说的“可乐牙”。

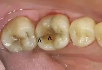
被碳酸腐蚀的牙齿

要说清楚碳酸饮料是怎样腐蚀你的牙齿的,我们要从牙齿龋坏的原因说起。

医学界经过长期研究一致认为:龋齿大概是由细菌、食物、牙齿和时间,这四种致病因素共同起作用的结果,他们的反应过程如下:


秒懂版



学术版

我们的口腔中生存着大量细菌,其中有一些是致龋菌,如变形链球菌,放线菌,乳酸杆菌等具有产生有害牙齿的化学物质的能力。而食物中的糖为这些致龋菌提供营养,发酵产酸,在牙齿表面长时间附着残留,腐蚀牙釉质,逐渐导致龋齿。

“可乐牙”的初期只是牙齿怕冷、怕酸等症状,如果发展下去,前牙的结构可能逐渐变薄甚至折断;或者牙齿表面变得脆弱、碎落,继而出现牙体缺损,牙龈暴露。


道理我都懂,可还是放不下可乐怎么办?


为了避免牙齿受到碳酸饮料的风险,

肯定是戒掉碳酸饮料为宜,

但,依然有很多放不下饮料的朋友,

白小博在这里给出两条建议,

尽量降低患“可乐牙”的风险。

tips 1 喝完碳酸饮料一定要漱口

长期且频繁饮用碳酸饮料,对牙齿会有一定损伤,其主要表现可能为牙齿色素沉着、牙釉质脱矿、蛀牙等,所以饮用碳酸饮料后及时漱口有助于预防牙齿受伤。

tips 2 喝完碳酸饮料不要立刻刷牙

饮用碳酸饮料后通过及时刷牙来预防牙齿被腐蚀其实是不可行的,原因是喝过碳酸饮料,牙齿表面被酸性物质附着,经过和酸反应,牙齿中的钙离子会游离出来,若此时用牙刷摩擦牙齿,容易造成牙面的细小缺损,因此,建议大家喝完酸性饮料半个小时后再刷牙。

tips 3 定期做牙齿检查

戒不掉碳酸饮料,那么除了喝完之后按照tips 1和2做之外,还要定期(半年左右)做牙齿检查,医生能够全面给牙齿进行检查,这样才能保证牙齿健康哦!





该文章/视频来自网络,如有侵权请及时联系删除

泰安洪元口腔医院
泰安利民牙科医院
唐訾路店洪元口腔

版权所有:泰安市泰山区洪元口腔诊所 备案号:鲁ICP备18007663号-1 鲁公网安备 37090202000874号 技术支持:诺盾网络